IMPLANTOLOGIA A CARICO IMMEDIATO
I tuoi nuovi denti
in 4 ore*
Scopri la soluzione definitiva per un sorriso completo
Compila il form e ti chiameremo:
Oppure
*Il tempo di trattamento può variare a seconda delle condizioni cliniche del paziente.
Perché scegliere Odontocenter
Competenza, professionalità e fiducia.
- Prima visita dedicata non vincolante
- Equipe medica altamente qualificata
- Oltre 30 anni di esperienza
- Pagamenti personalizzati e dilazionati
Centro d'eccellenza in Implantologia
Odontocenter è un Centro d’eccellenza in Implantologia, specializzato in impianti dentali di alta qualità.
Implantologia
a Carico Immediato
La tecnica del “Carico Immediato” consente di ottenere risultati rapidi e soddisfacenti nella riabilitazione dentale. Grazie a questa metodologia, è possibile caricare gli impianti dentali il giorno stesso dell’intervento chirurgico o poco dopo, fornendo ai pazienti la possibilità di avere denti fissi in tempi ridotti.
Un esempio di questa tecnica è l’All-on-4, che permette di riabilitare un’intera arcata utilizzando solo quattro impianti. Questo approccio innovativo non solo riduce i costi e i disagi post-operatori, ma garantisce anche una dentatura fissa e esteticamente eccellente per la maggior parte dei pazienti.
In casi in cui l’osso disponibile non sia sufficiente per l’inserimento immediato degli impianti, è possibile ricorrere a innesti ossei per ripristinare i volumi ossei necessari in pochi mesi.
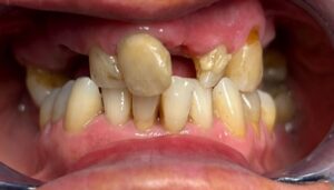
Prima
Dopo
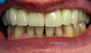
Prima
Dopo
I tuoi nuovi denti in comode rate
Con il finanziamento AGOS, puoi finalmente realizzare il tuo desiderio senza dover pagare tutto in un’unica soluzione. Con comode rate mensili, avrai la possibilità di fare i trattamenti odontoiatrici in massima tranquillità.
I Vantaggi dell'Implantologia a Carico Immediato
-
Sorriso naturale:
Gli impianti dentali a carico immediato ripristinano l'estetica e la funzionalità dei tuoi denti in modo permanente, offrendoti un sorriso naturale. -
Sicurezza e stabilità:
Gli impianti fissati saldamente nell'osso offrono una stabilità superiore rispetto alle protesi tradizionali, consentendoti di parlare, masticare e sorridere con fiducia. -
Qualità della vita:
Puoi dire addio alle fastidiose protesi mobili e godere di una migliore qualità della vita, senza restrizioni alimentari o preoccupazioni riguardo alle protesi che si spostano o si staccano. -
Durata nel tempo:
Gli impianti dentali a carico immediato sono progettati per durare a lungo, offrendo una soluzione di lunga durata per il tuo sorriso.
Dicono di noi
ECCELLENTE In base a 52 recensioni maurizio battello12 Marzo 2025Trustindex verifica che la fonte originale della recensione sia Google. Sono paziente di questo studio da oltre 20 anni, ho eseguito un importante intervento con impianti dentali e ricostruzione dell’osso. A distanza di anni posso dire con soddisfazione che il lavoro eseguito dallo staff è stato eccellente. Professionali e disponibili . Tiziana Brambilla25 Febbraio 2025Trustindex verifica che la fonte originale della recensione sia Google. Frequento lo studio da anni e mi trovi benissimo Da consigliare vivamente! lorenzo murgolo19 Febbraio 2025Trustindex verifica che la fonte originale della recensione sia Google. Servizio ineccepibile, pienamente soddisfatto, studio pulitissimo, organizzatisimo e professionale! Raffaella Crippa18 Febbraio 2025Trustindex verifica che la fonte originale della recensione sia Google. Personale gentilissimo e competente ..Il dot Simone ha saputo spiegarci in modo completo e preciso il nostro problema e le soluzioni..consiglio vivamente samuele Mariani17 Febbraio 2025Trustindex verifica che la fonte originale della recensione sia Google. Pienamente soddisfatto !!! Bravi bravi bravi !!! Katia Bellomo14 Febbraio 2025Trustindex verifica che la fonte originale della recensione sia Google. Molto professionale..molto avanguardia listino prezzi fattibile da consigliare! Samuele Motti12 Febbraio 2025Trustindex verifica che la fonte originale della recensione sia Google. Consigliato,ottimo studio! Maria Giovanna Bottoni8 Febbraio 2025Trustindex verifica che la fonte originale della recensione sia Google. Da anni frequento questo studio ormai diventato punto di riferimento per tutta la nostra famiglia. L’ ambiente e’ accogliente e molto pulito. Tutto lo staff e’ estremamente professionale ed attento ad ogni esigenza. Giorgia è un’ ottima igienista dentale capace di mettere a proprio agio il paziente. Vivamente consigliato.
Scegli la soluzione definitiva per il tuo sorriso in 4 ore*!
*Il tempo di trattamento può variare a seconda delle condizioni cliniche del paziente.
Odontocenter
- MARIANO COMENSE
- Via Sant'Alessandro, 24/f
- 22066 Mariano Comense CO
- INGRESSO
- Condominio 1° Piano (Con Ascensore)
- PARCHEGGIO
- Ampio parcheggio di fronte al condominio
CHIAMACI PER
PRENOTARE UNA VISITA
- ORARI DI APERTURA
Lunedì 9:00-12:00 | 14:00-20:00
Martedì – | 14:00-20:00
Mercoledì 8:00-13:00 | 14:00-20:00
Giovedì – | 14:00-20:00
Venerdì – | 14:00-20:00
Sabato* 9:00-12:00 | –
*Su appuntamento